Hong Kong Üniversitesi Omicron’un elektron mikroskobu görüntüsünün ortaya çıkarıldığını duyurdu
Hong Kong Üniversitesi Li Ka Shing Tıp Fakültesi (HKUMed) tarafından Omicron varyantının elektron mikroskobu görüntüsünün ortaya çıkarıldığı duyuruldu.
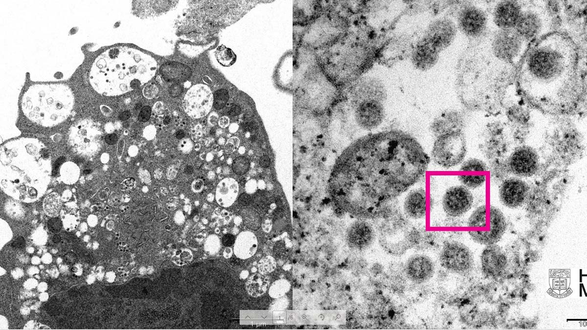
HKUMed’den yapılan açıklamada, araştırmacılar tarafından SARS-CoV-2 virüsünün Omicron varyantının elektron mikroskobu görüntüsünün ortaya çıkarıldığı belirtildi. Üniversite tarafından yayınlanan fotoğrafın solunda, küçük siyah viral partiküller içeren şişmiş veziküllerle hücre hasarını gösteren, SARS-CoV-2 Omicron varyantı ile enfeksiyondan sonra bir maymun böbrek hücresinin (Vero E6) düşük büyütmeli elektron mikrografının yer aldığı ifade edildi. Fotoğrafın sağında ise yüzeylerinde korona şekilli sivri uçlara sahip viral partikül kümelerini gösteren enfekte bir Vero E6 hücresinin yüksek büyütmeli elektron mikrografının yer aldığı belirtildi.












