Danimarkalı ikizler Alicia Nicolajsen ve Melissa Petersen, suçlamalarda bulundukları kliniğin açıklamalarına tepki gösterdi.
Tedavileri sırasında çekilen fotoğrafları gösteren ikizler, tedavileriyle ilgi bilgi veren doktoru tanımadıklarını belirtiler. İkizlerden Alicia Nicolajsen, “Kesinlikle aynı doktor değil. 2 fotoğraftaki kadın da birbirine asla benzemiyor. 1 ay boyunca işlemimizi yapan kadını biliyoruz. Doktor Reem bize işlem uyguladı. Onu defalarca maskesiz de gördük” dedi.
Teşekkür ettikleri videolara değinen Melissa Petersen ise, “Videoda farklı bir kliğinin adını söylüyorum. Aynı zamanda dişçinin ismini söylerken video kesilmiş bence bu da bir şüphe. Klinik ve doktorlardan bahsettiğim kısımları kesmişler. İlknur Çavdar bizim tedavimizi gerçekleştirdiğini söylüyor ama bize Doktor Reem işlem yaptı” diye konuştu.
Danimarka’nın Kopenhag kentinde yaşayan Alicia Nicolajsen ve Melissa Petersen (37) isimli ikizler, ucuz maliyetli diş tedavisi için İstanbul’un yolunu tuttu. 31 Ekim’de İstanbul’a gelen ikizlere, anlaştıkları bir diş hastanesinde işlem yapıldı. Ancak iki kadın, ağızlarında iltihap oluştuğunu dile getirip iddiaya göre başka bir kliniğe gidip iddiaya göre burada da bekledikleri tedaviyi olamadı.
Nicolajsen’in ağız yapısı bozulurken, Petersen’in de diş etleri çekildi, dişleri eksildi ve neredeyse konuşamaz hale geldi. İddiaların üzerine İstanbul İl Sağlık Müdürlüğü ekipleri Zeytinburnu’ndaki kliniğe gelerek incelemelerde bulundu. Kliniğin işletmecisi olduğunu belirten Ömer Türkmen ise iddiaları kabul etmedi. Kliniğin mesul müdürü olarak görülen Diş Hekimi İlknur Çavdar ise ikizlere işlemi kendinin yaptığını öne sürdü.

“ŞU ANDA DAVA AŞAMASINA HAZIRLANIYORUZ”
Klinik yetkililerinin açıklamaları sonrası konuşan Alicia Nicolajsen “Bu fotoğraftaki kadın dişlerimizi yaptığını söyledi ama o yapmadı. O asla bizim ağzımıza bakmadı, sadece klinikte bir kere görmüştük. Bakın bu fotoğraftaki kadın bizim dişlerimizi yaptı. Gerçek ismini bilmiyoruz, bize kendini Reem olarak tanıttı. Tedavimizi o yaptı. Şu anda bir avukat bulduk, dava açmaya hazırlanıyoruz” dedi.
“DR. REEM’İN BAŞÖRTÜSÜ VAR KESİNLİKLE AYNI KİŞİ DEĞİL”
Alicia Nicolajsen, “Bu fotoğraftaki kadın bize işlem uyguladığını söylüyor ama bakın bu fotoğrafta Doktor Reem var. Doktor Reem’in başörtüsü var kesinlikle aynı kişi değil. 2 fotoğraftaki kadın da birbirine asla benzemiyor. 1 ay boyunca işlemimizi yapan kadını biliyoruz. Doktor Reem bize işlem uyguladı. Onu defalarca maskesiz de gördük” diye konuştu.
“ÇEKİLDİĞİM VİDEODA DA O KLİNİĞİN İSMİNİ SÖYLÜYORUM”
Klinik tarafından paylaşılan bir videoda ikizlerden Melissa Petersen’in “Guarentee Clinic’ten memnun kaldık” dediği duyuluyordu. Videoya ilişkin Melissa Petersen, “O video çekilirken kendimi baskı altında hissettim. O yüzden o videoda yer aldım. O zaman daha tedavinin sonuçlarını görmemiştik. Bize cevap olarak konuştukları videoda ‘Guarentee Clinic’ yok demişlerdi ama benim çekildiğim videoda ‘Guarentee Clinic’ diyorum.

Aynı zamanda dişçinin ismini söylerken video kesilmiş. Bence bu da bir şüphe. Klinik ve doktorlardan bahsettiğim kısımları kesmişler. İlknur Çavdar bizim tedavimizi gerçekleştirdiğini söylüyor ama bize Dr. Reem işlem yaptı. Dr. Reem’in başörtüsü vardı ve o konuşan kadından tamamen farklı biriydi. Videoda klinik ve Doktor Reem ile ilgili bir şey konuşuyorum” şeklinde konuştu.
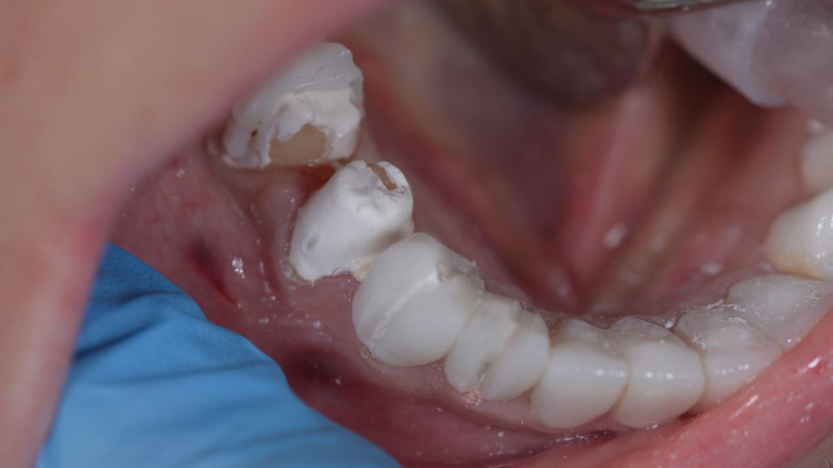
“AĞIZ SAĞLIKLARI BOZULMUŞTU”
İkizlerin Nişantaşı’ndaki kliniğinde tedavilerini devam ettiren diş hekimi ise ikizlerin kendisine geldiğinde dişlerinde fark ettiği bulgularını paylaştı. Diş hekimi “Alt ve üst çene uyumu yoktu. Dişlerinin arası tamamen yapışkanla doluydu. Kaplamalar tek tek değil ikişer ikişer birleştirilerek yapılmıştı. Yapılan kaplamalar dişlere uyumsuzdu. Gereksiz kanal tedavileri yapılmıştı. Ağızda kapanış bozukluğu vardı. Bu sebeplerden dolayı çenelerinde kas spazmı oluşmuştu. Kısacası ağız sağlıkları bozulmuştu. Melissa’da ağır yüz ağrısı vardı” diye konuştu.












