Ankara’da 3 aylık Mehmet Asaf Kılıç bebeğin beynini saran tümör, yaklaşık 9 saat süren ameliyatla temizlendi.
Beyin ve Sinir Cerrahisi Uzmanı Doç. Dr. Cahit Kural, “Bu çok nadir görülen bir tümör. Beyni bu kadar dolduran tümör görmek, çoğu zaman mümkün değil. Tümörün hepsini çıkardığımız için kemoterapi düşünmüyoruz” dedi.
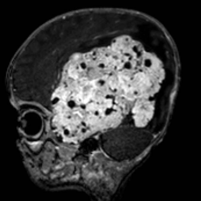
Şanlıurfa’da 1,5 yıllık evli Saniye ve Yunus Kılıç, 3 aylık bebekleri Mehmet Asaf Kılıç’ın kafasının sol tarafında oluşan şişliği fark edince Şanlıurfa Eğitim ve Araştırma Hastanesi’ne başvurdu. Beyninde kitle olduğu belirlenen Asaf bebek, Ankara Sağlık Bilimleri Üniversitesi Gülhane Eğitim ve Araştırma Hastanesi’ne sevk edildi. Asaf’ın çekilen MR’ında beynin sol tarafının tamamen tümör ile kaplı olduğu tespit edildi. Asaf bebeğin ameliyat edilmesi kararlaştırıldı ve 9 saat süren operasyonla beynindeki tümör temizlendi. Asaf bebek, tedavi sürecinin ardından sağlığına kavuştu.

‘ZAMAN KAYBEDEN AMELİYATA ALDIK’
Mehmet Asaf’ın doktoru Beyin ve Sinir Cerrahisi Uzmanı Doç. Dr. Cahit Kural, Asaf’ı ilk gördüklerinde yolunda gitmeyen bir şeyler olduğunu hissetiklerini belirterek, “Acil olarak MR çektirdik. Beyin MR’ında beynin sol tarafını tamamen dolduran, sağ tarafına bası yapan devasa bir kitle vardı. Zaman kaybetmeden hemen ameliyata aldık. Ameliyatta tümörün tamamını çıkardık. Bu büyüklükte tümörler çok nadir görülür. Beynin yarısını dolduran bir tümördü. Hastamız çok küçük, tümör çok büyük, riskli bir ameliyattı. 8-9 saat süren bir ameliyatın ardından iyileşti, sağlıklı şekilde evine gönderiyoruz” dedi.
Çıkarılan örnekleri ileri inceleme için patoloji bölümüne gönderdiklerini belirten Kural, “‘Atipik koroid pleksus papillomu’ tanısı geldi. Bu çok nadir görülen bir tümör. Beyni bu kadar dolduran tümör görmek, çoğu zaman mümkün değil. Tümörün hepsini çıkardığımız için kemoterapi düşünmüyoruz” diye konuştu.

‘MAŞALLAH ŞİMDİ ÇOK SAĞLIKLI’
Baba Yunus Kılıç, mutlu olduğunu söyleyerek, “Ameliyattan önce çok huysuzdu, çok ağlıyordu. Şimdi çok iyi, beslenmesi de iyi. Maşallah çok sağlıklı” dedi. Anne Saniye Kılıç da “Çok mutluyum, çocuğum sağlığına kavuştu. Sağlıklı şekilde kucağıma alabiliyorum. İlk belirtileri fark ettiğimizde çok tedirgin olmuştum. Çok şükür, bugünü de gördüm” diye konuştu.












