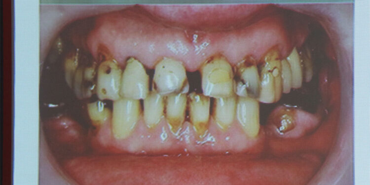
Ağız hijyeninde sınıfta kaldığımıza işaret eden Doç. Dr. Ömer Faruk Çiçek’in bilimsel sunumunda ortaya çıktı: 6 kişilik ailenin tamamı aynı diş fırçasını kullandı.
Türk Kalp ve Damar Cerrahisi Derneği (TKDCD) tarafından Antalya’da düzenlenen 18’inci Ulusal Kongre’de bir oturum gerçekleştiren Selçuk Üniversitesi Tıp fakültesi Kalp ve Damar Cerrahisi Anabilim Dalı’ndan Doç. Dr. Ömer Faruk Çiçek, ağız hijyeninin kalp kapak ameliyatlarına etkisini anlattı. Doç. Dr. Çiçek, sunumunda tedavi ettiği vakalardan birine ait çarpıcı bir fotoğraf paylaştı. Ağız hijyeninde sınıfta kaldığımıza işaret eden Doç. Dr. Çiçek, “6 kişilik bir ailenin tamamı aynı diş fırçasını kullanıyor ve fırçanın ne zaman alındığını dahi hatırlamıyorlardı. Başka bir vakamızda 12-13 tane çürük dişle yaşamını sürdürüyordu. Bu nedenle ameliyat öncesi tüm dişleri çekilmek zorunda kalındı. Kapak ameliyatlarının büyük çoğunluğunda protez kapak takılıyor. Ancak ağız kaynaklı enfeksiyonlar hastayı yüksek riskli hale getiriyor. Sadece kalp kapak ameliyatları değil, diz protezi gibi vücutta herhangi bir protezi bulunan herkesin ağız hijyeni ve diş bakımına çok dikkat etmesi gerekiyor. Ağız florasındaki bakteriler kan yolu ile protezlere yapışabiliyor ve bu da protezlerin enfekte olmasına ve çok tehlikeli tablolara yol açıyor” dedi.
Türk Kalp ve Damar Cerrahisi Derneği (TKDCD) tarafından 21-24 Kasım tarihleri arasında Antalya’da düzenlenen 18’inci Türk Kalp ve Damar Cerrahisi Derneği Ulusal Kongresi’nde gerçekleştirilen bilimsel oturumlardan biri de kalp kapak hastalıklarının tedavisinde enfeksiyon riskleri ile ilgiliydi. Sunumu gerçekleştiren Selçuk Üniversitesi Tıp Fakültesi Kalp ve Damar Cerrahisi Anabilim Dalı’ndan Doç. Dr. Ömer Faruk Çiçek, ağız hijyeninin kalp kapak ameliyatlarına etkisini anlattı. Doç. Dr. Çiçek’in sunumu sırasında tedavi ettiği vakalardan birine ait çarpıcı bir fotoğraf paylaştı. Çok önemli açıklamalarda bulunan Doç. Dr. Çiçek, ağız hijyeninde sınıfta kaldığımıza işaret etti. Fotoğrafın hikayesini de anlatan Çiçek, “Bir diş fırçası var, bu 6 kişilik bir ailenin. Hepsi ortak kullanıyordu bu diş fırçasını ve ne zaman değiştirdiklerini dahi hatırlamıyorlardı. Gerçekten o kadar kötü görünüyordu ki. Burada ağız hijyeninden bahsetmek mümkün değil. Maalesef sağlık okuryazarlığımız çok düşük düzeyde” dedi.

’14 DİŞİ BİRDEN ÇEKİLEN, 60’INA GELİP DİŞ FIRÇALAMAYI BİLMEYEN HASTALARIM OLDU’
Başka bir hastasının da ameliyat hazırlıkları sırasında tam 14 dişinin çekildiğini anlatan Doç. Dr. Çiçek, “Kalp kapak ameliyatına almak için 2 ay beklemek zorunda kaldık. Çünkü onda da ağız hijyeni çok kötüydü. Toplam 14 dişi çekilmek zorunda kalındı. Diğer dişlerinin hepsine tedavi uygulandı. Hasta da şaşırdı, bu kadar çürük dişle yaşıyormuş yıllardır. ‘Bugüne kadar hiç dişlerimi fırçalamadım’ diyen hastalar gördüm. Hayatında diş fırçalamadığını belirten 50-60 yaşında bir insana diş nasıl fırçalanır göstermek durumunda kaldığımız vakalar da oldu” diye konuştu. Ağız florasında milyonlarca bakterinin bulunduğunu ve özellikle ağız mukozasının delindiği işlemlerde, diş etine yapılan girişimler, implant işlemleri ve diş çekimi işlemlerinde maalesef çok ciddi ‘bakteriyemi’ denilen kana mikrop karışması durumunun ortaya çıkabildiğini anlatan Doç. Dr. Çiçek, sözlerini şöyle sürdürdü: “Bunun çözümü çok basit. Ağız hijyenine sürekli dikkat etmek. Ağız florasında normalde olan bakteriler streptokok dediğimiz bir tür. Ağız florasının yüzde 40 ila 60’ını oluşturuyor. Bu bakteriler diş fırçalama sırasında dahi bir miktar kana karışıyor. Ama bağışıklık sistemimiz güçlü olduğu için, vücudumuzda da herhangi bir protez yoksa herhangi bir problem yaşamıyoruz.”
‘MİKROPLAR AĞIZ MUKOZASINDAN KANA KARIŞIYOR’
Kalp ameliyatlarının önemli bir bölümünü oluşturan kalp kapak protezi ve kalp kapak onarımı hastalarında, kalbin içerisine yabancı bir protez materyali konulduğuna da dikkat çeken Doç. Dr. Çiçek, ağız hijyeninin bu hastalarda hayati önem kazandığına işaret ederek şunları söyledi: “Özellikle bu tip hastaların çok dikkatli olması gerekiyor. Çünkü bu hastalarda yapılacak herhangi bir işlem, örneğin dental bir işlem ya da ağız mukozasına uygulanacak bir işlem, kana çok ciddi miktarda bakteri karışmasına sebep olabilir. Vücudunda protez olan insanlarda çok tehlikeli olabiliyor. Çünkü kana karışmış olan mikroplar proteze yapışabiliyor ve protez kapak endokarditi dediğimiz çok ağır sonuçları olan bir hastalığa neden olabiliyor. Kalp kapak ameliyatı ya da onarım yapılacak hastaları mutlaka ameliyattan önce diş hekimine yönlendiriyoruz. Örneğin ağzında 4-5 tane çürüğü olan, diş eti bakımı oldukça kötü olan bir hastaya protez takarsak o hasta artık yüksek risk grubuna giriyor. Dolayısıyla biz öncelikle ağız problemini çözmek istiyoruz. Zaten kapak ameliyatlarının büyük bir kısmı acil olmayan, elektif (planlı) ameliyatlar ve vaktimiz de oluyor bu tedaviler için.”
DİZ PROTEZİ OLANLAR İÇİN DE TEHLİKELİ
Sadece kapak ameliyatları değil başka işlemler açısından da ağız hijyeninin çok önemli olduğunu vurgulayan Doç. Dr. Çiçek, “Örneğin kalp kapağını değiştirdiğiniz bir hastaya girişimsel bir işlem olan bronkoskopi, endoskopi ya da kolonoskopi yapılacaksa, onlarda da aynı riskler var ve antibiyotik rejimleri daha farklı olabiliyor, o bölgelerin floraları daha farklı olduğu için. Sadece kalp açısından değil, protez içeren pek çok tedavide bu riskleri geçerli. Diz protezlerinde veya beyinde ya da vücudun diğer bölgelerinde protezi olan hastalarda ağız hijyeninin bozuk olmasından kaynaklı enfeksiyonlar gelişebiliyor. O nedenle vücudunda kalp başta olmak üzere diğer organlarında protezi olan hastaların ağız diş bakımına çok dikkat etmesi gerekiyor. Bu konuyla ilgili hassas olmalarını ve mutlaka kendilerini ameliyat edecek hekimlerine işlem öncesi başvurarak önerilerini almalarını tavsiye ediyoruz” diyerek sözlerini noktaladı.













