İstanbul’da yaşayan Burak Aktaş’ın (21) kalbini 12 santim sağa kaydıran 6.5 kiloluk dev tümör doktorlarını bile şaşırttı.
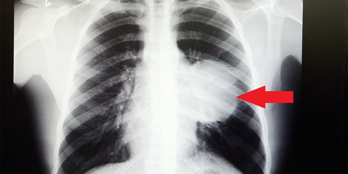
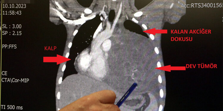
İstanbul’da yaşayan Burak Aktaş (21), Ağustos ayında halsizlik ve nefes darlığı şikayeti ile doktora gitti. Sol göğüs boşluğunda portakal büyüklüğünde bir kitle tespit edildi. İki seans kemoterapi gördü ama tedaviye rağmen tümör 2 ay içinde 8-10 kat büyüyerek karpuz boyutuna ulaştı. Kalbini göğüs boşluğunda 12 santimetre sağa iten, sol akciğerini neredeyse tamamen ezen dev tümör, Koşuyolu Yüksek İhtisas Eğitim ve Araştırma Hastanesi Göğüs Cerrahisi ve Kalp Damar Cerrahisi ekiplerinin beraber katıldığı büyük bir operasyonla başarıyla çıkarıldı. Bu kadar hızlı büyüyen kitle karşısında doktorları da şaşırdı.
İstanbul’da yaşayan 21 yaşındaki Burak Aktaş, Temmuz ayında işe girmek üzere sağlık raporu almak için hastaneye gitti. Her şey yolundaydı ve raporunu alarak iş başı yaptı. Bir ay geçmeden nefes darlığı, halsizlik, öksürük gibi şikayetlerle başka bir hastaneye gittiğinde ise ilk şoku yaşadı. Sol göğüs boşluğunda portakal büyüklüğünde bir kitle tespit edilmişti. Yapılan biyopside tümörün akciğer kaynaklı olmadığı, henüz cenin aşamasında eşey hücrelerinin farklılaşmasıyla gelişen “immatür teratom” teşhisi kondu. Kitleyi küçültmek için kemoterapi uygulansa da tam tersine tümör 2 ay içinde neredeyse 10 katına çıktı ve büyük bir karpuz boyutuna ulaştı.
Sol akciğerinin yüzde seksenini kağıt gibi ezen, kalbini göğüs duvarında 12 santim sağa kaydıran ve hem kalbe hem beyne giden ana damarlara baskı yapan 6.5 kilo ağırlığındaki dev tümör, Koşuyolu Yüksek İhtisas Eğitim ve Araştırma Hastanesi Göğüs ve Kalp Damar Cerrahisi ekiplerinin birlikte girdiği operasyonla başarılı şekilde çıkarıldı. Operasyon sırasında Aktaş’ın kalbi normal yerine çekildi, sol akciğerin üst lobu alındı, ezilen alt lobu ise anestezi ekipleri tarafından pozitif basınçla yeniden şişirildi. Ameliyatı gerçekleştiren ekipten Prof. Dr. Erdal Taşçı, Aktaş’ın göğüs boşluğunun neredeyse tamamını kaplayan 6,5 kiloluk tümörün teratom (eski Yunancada ‘canavar tümör’) türlerinden biri olduğunu ve embriyonik hücrelerden kaynaklandığını kaydetti.

“SOL AKCİĞER TAMAMEN EZİLMİŞ VE KAĞIT HALDEYDİ”
Prof. Dr. Erdal Taşçı, “Bundan 2,5-3 ay öncesine kadar hiçbir problemi olmayan, hayatını normal devam ettiren bir delikanlı Burak. Göğüs ağrısı öksürük ve nefes darlığı şikayetiyle sağlık kuruluşuna başvuruyor. Orada yapılan tetkiklerinde sol göğüs boşluğunda akciğerinden kaynaklanmayan portakal büyüklüğünde bir kitle tespit ediliyor ve immatür teratom tanısı konuyor. 2 ay arayla yapılan tetkiklerinde ve arada cerrahi öncesi küçültme amaçlı kemoterapi almasına rağmen, portakal büyüklüğündeki tümör, irice bir karpuz büyüklüğüne, yaklaşık 6 kilo 300 grama kadar ulaşıyor.
Göğüs boşluğunda kemik kafesi içinde olduğu için, itebileceği iki organ var; biri kalp, diğeri de akciğerler. Soldan sağa doğru büyüdüğü için kalbi tamamen göğüs boşluğunun sağ tarafına itmiş ve kalbe giren ve kalpten çıkan bütün büyük damarları da yer değiştirmenin etkisiyle bükülmüş durumdaydı. Bu nedenle vücuduna yeterince kan gitmiyordu. Ağustos ayının başında portakal büyüklüğündeyken kitle Eylül sonuna irice bir kavun, Ekim ayına geldiğimizde ise bir karpuz büyüklüğüne ulaştığı için, kitlenin büyüme hızı bizi acilen ameliyat yapmaya yöneltti. Yaklaşık 8-10 kat hacimsel olarak artmıştı.
Sol akciğer tamamen ezilmiş ve kağıt haldeydi, alt lobu anestezi ekibimiz yüksek basınç uygulayarak tekrar şişirdi. Çok fazla vaktimiz yoktu, kitle basısından dolayı yaşamla bağdaşmayacağından dolayı hızlı hareket etmek zorundaydık. Bize geldikten üç gün sonra hemen ameliyata aldık çünkü tümörden ziyade onun yaptığı baskıdan kaynaklı hayati riski vardı” dedi.
“KALBİNİ YERİNE TAŞIYIP KAĞIT GİBİ EZİLEN AKCİĞERİNİ ŞİŞİRDİLER”
Normalde kalbin özellikle alt ucunun göğüs boşluğunda, iman tahtası orta çizgi kabul edilirse, sola bakar şekilde durduğuna dikkat çeken Prof. Dr. Taşçı, sözlerini şöyle sürdürdü: “Ama bu hastada yaklaşık 12-13 s santimlik kalbin alt ucununu yer değiştirmesi ve kalbe giren çıkan bütün damarlar bükülüp kan akımı bozulmuştu. Kalp Damar Cerrahisi ekibi de bizimle beraber ameliyata girdi. Sol akciğerin üst lobu artık geri dönüşümsüz olarak ezildiği için çıkarmak zorunda kaldık. Kalbi tekrar eski pozisyonuna getirdik.

Ameliyat sonrası çok çabuk toparladı. Koşuyolu ailesi olarak böyle büyük bir vakanın altından başarıyla çıktığımız için de ayrıca çok gururluyuz. Bundan sonra onkolog arkadaşlarımız hastamızın yaşamına çok olumlu dokunuşlar yapacak. İmmatür teratom genelde embriyojenik çağda gelişim gösteren germ hücrelerinin farklılaşmasıyla büyür. Vücudun herhangi bir yerinde gelişebilir ve içinde saç, diş, kemik artıkları, jölemsi kıvamda maddeler bulundurabilen bir tümör çeşididir. Kombine tedavilerde çok iyi sonuçlar alınıyor. Bu çocuğumuzu ileride güzel bir hayat bekliyor.”
İŞE BAŞLAYACAKKEN KENDİNİ AMELİYATHANEDE BULDU
İşe giriş raporu muayenesinde hiçbir sorun yokken birkaç hafta sonra hayatını sürdüremeyecek kadar kötüleşen oğlunun hastalığını öğrendiğinde şok yaşadıklarını belirten baba Sadi Aktaş, “Temmuz ayında iş için sağlık raporu almak üzere bir özel hastaneye gitmişti. Herhangi bir sorun yoktu. Sonra nefes darlığı, öksürük ve tansiyon düşmesi ile başka bir hastaneye gittik. Röntgen çekildi ve kitle orada fark edildi.
Acilen başka bir hastaneye yönlendirdiler. Kemoterapiden sonra oradan da ameliyat olmak üzere Koşuyolu Kalp Hastanesi’ne geldik. Biz tümörün o kadar büyük olduğunu duyunca çok şaşırdık. 3 aydır sırt üstü hiç yatamadı, ameliyattan sonra rahat bir nefes aldı ve rahat bir uyku uyuyabildi” dedi. Burak Aktaş ise 3 aydır hayatının çok zor geçtiğini anlatarak şunları söyledi: “Ameliyattan önce ne yatabiliyordum, ne uyuyabiliyordum. Erdal hocamın sayesinde şu an hayatım düzeene girdi.”













